TAG
Rifqi Gozali
-
Begini Sulitnya Warga Kudus Mendapat Minyak Goreng Curah, Warga: Siapa Cepat Dia Dapat
Jumat, 25 Maret 2022
-
Wow! Harus Sabar, Daftar Tunggu Haji di Kudus 31 Tahun, Begini Keterangan Resmi Kemenag
Jumat, 25 Maret 2022
-
warga Dukuh Masin, Desa Kandangmas, Kecamatan Dawe, Kudus menggelar tradisi sedekah kubur. Digelar saat hari Kamis terakhir jelang bulan Ramadan.
Jumat, 25 Maret 2022
-
Pengakuan Pengusaha Krupuk di Kudus: Babak Belur Dihajar Keadaan, Minyak Mahal Tapioka Melambung
Kamis, 24 Maret 2022
-
Himpunan Pengusaha Muda Indonesia (HIPMI) Kudus menjaring calon pengusaha muda dari kalangan mahasiswa.
Rabu, 23 Maret 2022
-
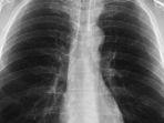
Angka Penderita TBC di Kudus Naik, Ini yang Dilakukan Dinas Kesehatan. tren tbc di kudus naik, ini yang dilakukan dinkes
Rabu, 23 Maret 2022
-
Bagas Maulana Juara All England 2022, PB Djarum Janji Segera Gelontor Bonus. pb djarum beri bonus bagas maulana hall of fame pb djarum
Selasa, 22 Maret 2022
-
Bupati Kudus HM Hartopo meminta kepada distributor minyak goreng tidak menimbun minyak goreng setelah harganya dikembalikan sesuai mekanisme pasar.
Minggu, 20 Maret 2022
-
PBSI Kudus Coaching Clinic di Sekolah, 50 Siswa Dilatih Teknik Dasar Permainan Bulutangkis
Sabtu, 19 Maret 2022
-
Fokus Dampingi UMKM, Ini yang akan Dilakukan Ketua Kadin Kudus Safrul Kamaludin
Rabu, 16 Maret 2022
-
Kesaksian Rossi: Gelombang Peziarah ke Makam Sunan Kudus Meningkat saat Jelang Ramadan
Rabu, 16 Maret 2022
-
Kesaksian Rossi: Gelombang Peziarah ke Makam Sunan Kudus Meningkat saat Jelang Ramadan
Selasa, 15 Maret 2022
-
Kudus Citywalk yang berada di Jalan Sunan Kudus kondisinya memprihatinkan. Lampu-lampu hias rusak menjuntai, coretan atau vandalisme begitu kentara.
Selasa, 15 Maret 2022
-
Mengintip Peluang Digelarnya Pasar Dandangan di Kudus, Hartopo: 90 Persen Kembali Ditiadakan
Senin, 14 Maret 2022
-
BREAKING NEWS: Truk Muatan Apel dari Surabaya Terguling di Kudus, Hindari Tabrak Penyeberang Jalan
Senin, 14 Maret 2022
-
FOTO-FOTO 11 Bandar Narkoba Dipindahkan dari Semrang ke Lapas Higrisk Karanganyar Nusakambangan bandar narkoba lapas kedungpane semarang dipindahkan
Sabtu, 12 Maret 2022
-
Angin Segar UU HKPD untuk Blora, Bupati Arief Rohman: Semoga Dapat sampai Rp300 Miliar dari blok cepu
Jumat, 11 Maret 2022
-
Tanggul Sungai Dawe di Golantepus Jebol, Begini Respon Bupati Kudus: Kok Banyak yang Jebol, harus jadi introspeksi
Jumat, 11 Maret 2022
-
BREAKING NEWS: Tanggul Sungai Dawe di Desa Golantepus Kudus Jebol, Air Campur Lumpur Menggenang golantepus banjir
Rabu, 9 Maret 2022
-
Bupati Hartopo Harap Layanan di Polres Kudus Meningkat dan Lebih Efisien, Ada Apa?
Rabu, 9 Maret 2022
© 2025 TRIBUNnews.com Network,a subsidiary of KG Media.
All Right Reserved